tomogram_009
- Run ID:RN-18808
Release Date: 2025-11-17
Last Modified: 2025-11-17

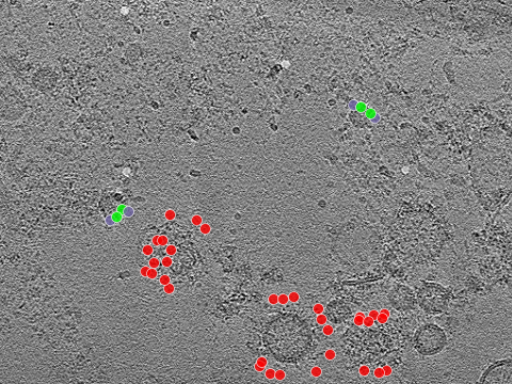
Photo Caption: Central slab of tomogram 22070 with selected set of annotations.
Run Overview
Tilt Series
Tilt Quality | 3 - Moderate |
| Tilt Range | 74.99° (-36.01° to 38.99°) |
| Tilt Scheme | dose-symmetric |
Tomogram
| Samplings Available | 13.44Å |
| Tomogram Processing | raw |
Objects
|
Browse Run Contents
Tomograms
1 of 1 Tomograms
Tomogram Name | Deposition Date | Alignment ID | Voxel Spacing | Reconstruction Method | Post Processing | ||
|---|---|---|---|---|---|---|---|
22070 WBP Raw Tomogram ID: TM-22070 Author Submitted
| 2025-11-17 | AL-20045 | 13.44Å (512, 720, 500)px | WBP | raw |