seed100548300-20250904-052008
- Run ID:RN-18299
Release Date: 2025-11-03
Last Modified: 2025-11-03

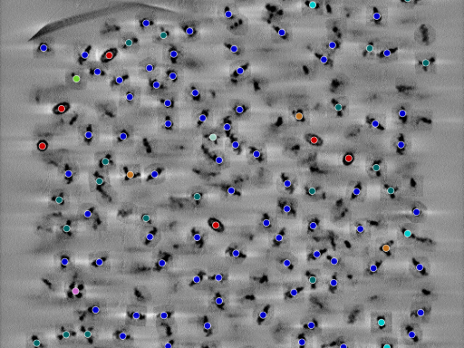
Photo Caption: Central slab of tomogram 21243 with selected set of annotations.
Run Overview
Tilt Series
Tilt Quality | Not Submitted |
| Tilt Range | Not Submitted |
| Tilt Scheme | Not Submitted |
Tomogram
| Samplings Available | 10Ã… |
| Tomogram Processing | raw |
Objects
|
Browse Run Contents
Tomograms
1 of 1 Tomograms
Tomogram Name | Deposition Date | Alignment ID | Voxel Spacing | Reconstruction Method | Post Processing | ||
|---|---|---|---|---|---|---|---|
21243 WBP Raw Tomogram ID: TM-21243 Author Submitted
| 2025-11-03 | AL-19536 | 10Ã… (1024, 1024, 200)px | WBP | raw |