seed1004438699-20250904-144151
- Run ID:RN-18294
Release Date: 2025-11-03
Last Modified: 2025-11-03

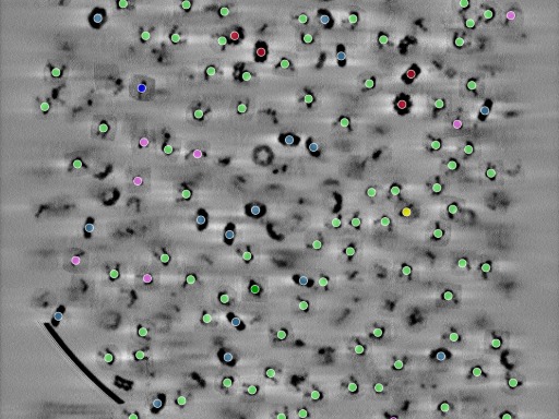
Photo Caption: Central slab of tomogram 21238 with selected set of annotations.
Run Overview
Tilt Series
Tilt Quality | Not Submitted |
| Tilt Range | Not Submitted |
| Tilt Scheme | Not Submitted |
Tomogram
| Samplings Available | 10Ã… |
| Tomogram Processing | raw |
Objects
|
Browse Run Contents
Tomograms
1 of 1 Tomograms
Tomogram Name | Deposition Date | Alignment ID | Voxel Spacing | Reconstruction Method | Post Processing | ||
|---|---|---|---|---|---|---|---|
21238 WBP Raw Tomogram ID: TM-21238 Author Submitted
| 2025-11-03 | AL-19531 | 10Ã… (1024, 1024, 200)px | WBP | raw |