Dataset
CryoET of NPC1-Deficient Human HEK293T Cells with Annotations for Multiple Cellular Features
- Dataset ID:DS-10456
Release Date: 2025-11-24
Last Modified: 2025-11-24

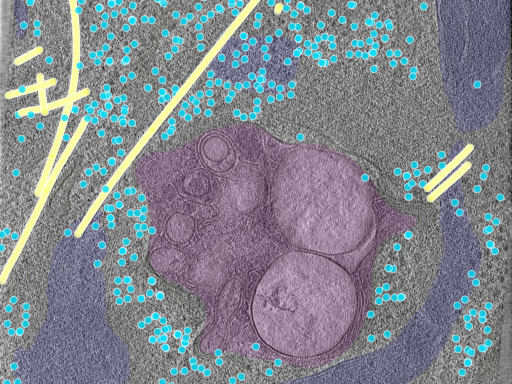
Photo Caption: Central slab from a representative tomogram of a Homo sapiens sample with selected set of annotations.
Dataset Overview
Human HEK293T cells lacking the lysosomal cholesterol transporter NPC1 were cultured and plunge-frozen. This dataset contains tomograms with comprehensive annotations of cellular features including lysosome clusters within larger membrane compartments, abnormal mitochondrial morphology, microtubules, and ribosomes throughout the cytoplasm. Membranes are annotated to reveal the complex architecture of lysosomal compartments and their spatial relationships with other organelles.
Authors
Publications
Not Submitted
Related Databases
Not Submitted
Runs
4 of 4 Runs
Run Name | Tilt Series Quality Score | Objects | ||
|---|---|---|---|---|
25jul29a_Position_13 Run ID: RN-18798 | 5 - Excellent | -- | ||
25jul29a_Position_3 Run ID: RN-18799 | 5 - Excellent |
| ||
25jul29a_Position_4 Run ID: RN-18800 | 5 - Excellent | -- | ||
25jul30a_Position_3 Run ID: RN-18801 | 5 - Excellent | -- |